診療時間
月-火-水-金-土
09:00 - 13:00 15:00 - 18:30
休診日
木・日・祝

〒164-0001
東京都中野区中野5-67-5 SKGT長谷部6階

インビザラインの矯正症例
20代の歯列矯正

© 2022 Igumi Dental Clinic. all rights reserved.

上顎前突(出っ歯)

BEFORE

インビザラインで叢生を改善した例 BEFORE

AFTER

 インビザラインで叢生を改善した例AFTER

担当医コメント

アライナーとエラスティックを併用し治療を進めた。アライナー矯正の場合に抜歯ケースで見られる、臼歯の傾斜やそれに伴う臼歯のオープンバイトは軽度に起こったが、追加アライナーでリカバリーが出来た。

経過観察をし、必要なタイミングで追加アライナーを作製することの重要性が分かる。

患者のコンプライアンスが良く、20時間以上しっかりと装置を使い、エラステックも使用してくれた。口元の変化が起こり、患者の満足度も高い結果となった。

治療の概要

年齢/性別
20代 男性
主訴
前歯と口元が出ていることが気になる。
リスク
歯肉退縮が起こることがある。臼歯が噛み合わなくなる。抜歯を伴う治療なのでインビザライン単独での治療は難しい可能性がある。
費用
88万円(矯正費用)
期間
1 11 ヶ月

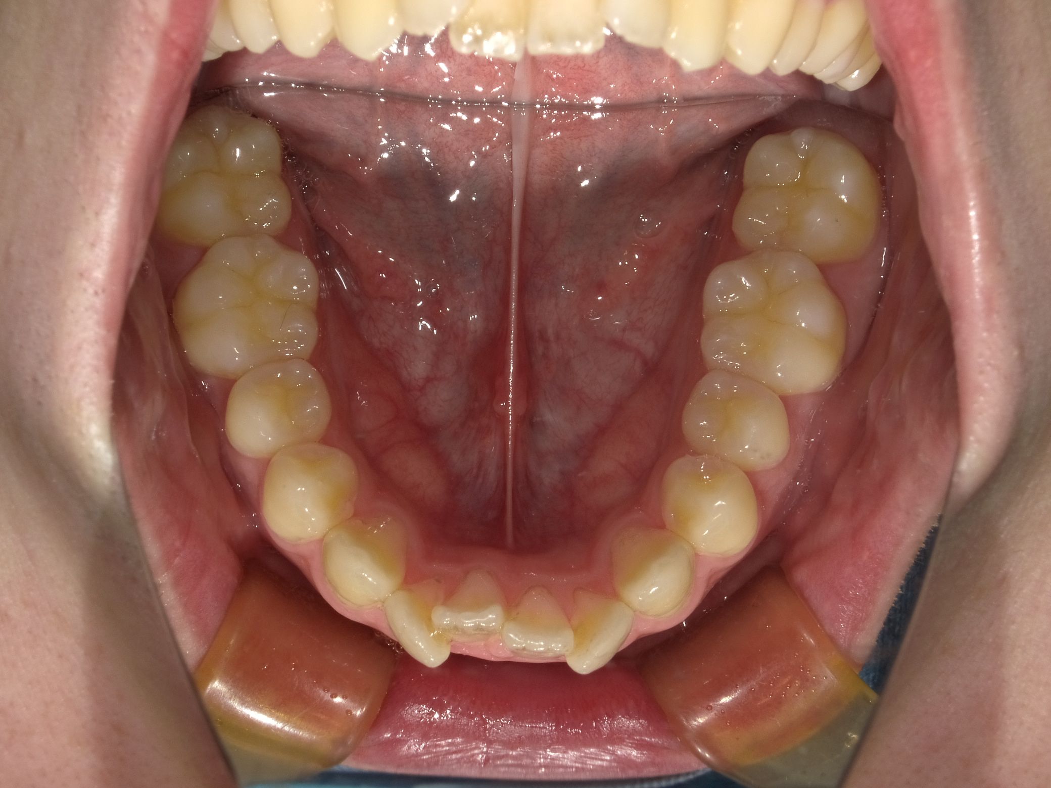
術前

インビザラインで叢生を改善した例 術前上
インビザラインで叢生を改善した例  術前 左
インビザラインで叢生を改善した例 術前 上
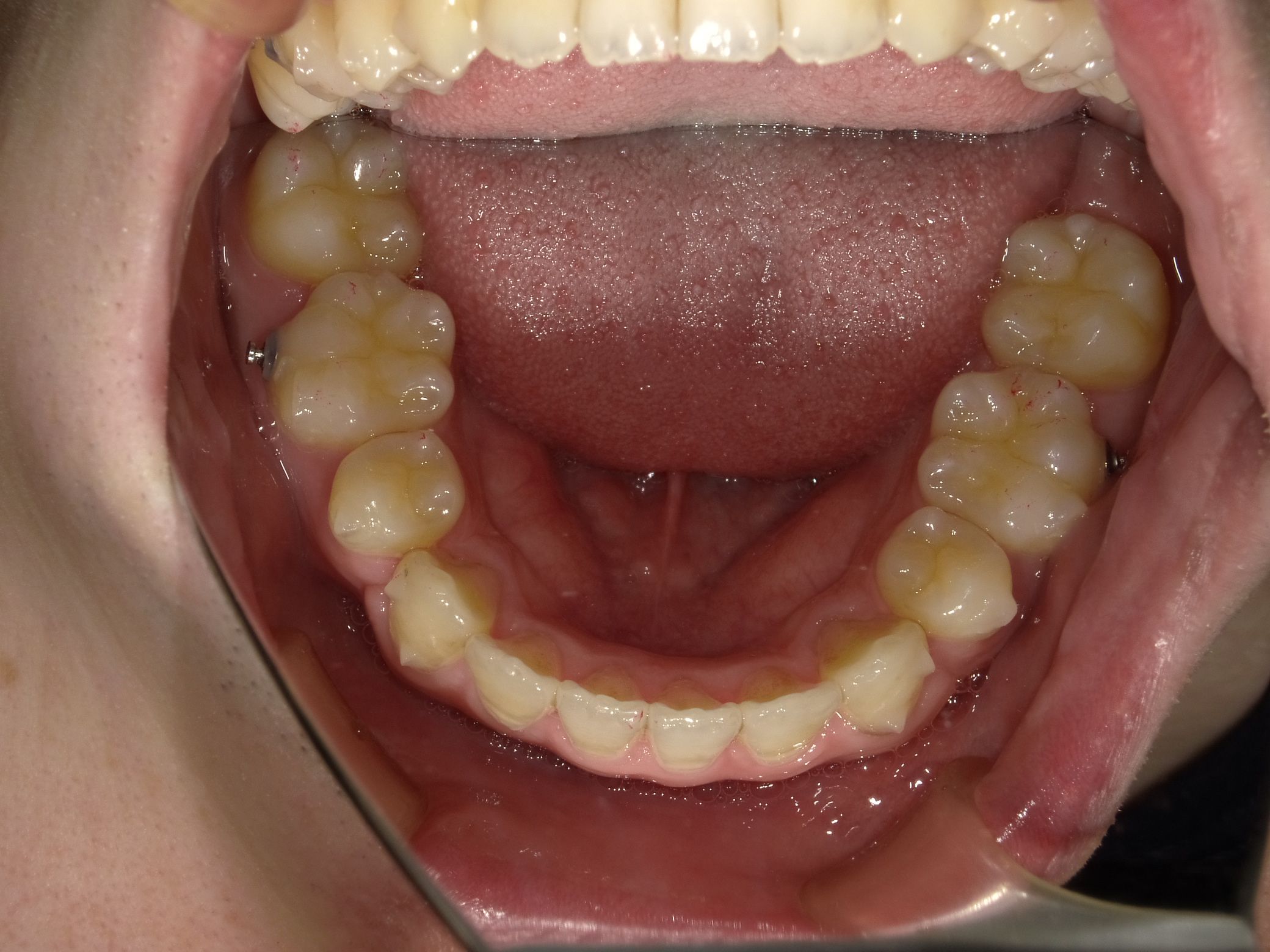
インビザラインで叢生を改善した例 術前下
インビザラインで叢生を改善した例 術前 下

術中1

インビザラインで叢生を改善した例 術前下
インビザラインで叢生を改善した例 術前上
インビザラインで叢生を改善した例  術前 左
インビザラインで叢生を改善した例 術前 上
インビザラインで叢生を改善した例 術前 下

術中2

インビザラインで叢生を改善した例 術前下
インビザラインで叢生を改善した例 術前上
インビザラインで叢生を改善した例  術前 左
インビザラインで叢生を改善した例 術前 上
インビザラインで叢生を改善した例 術前 下

術後

インビザラインで叢生を改善した例 術前下
インビザラインで叢生を改善した例 術前上
インビザラインで叢生を改善した例  術前 左
インビザラインで叢生を改善した例 術前 上
インビザラインで叢生を改善した例 術前 下

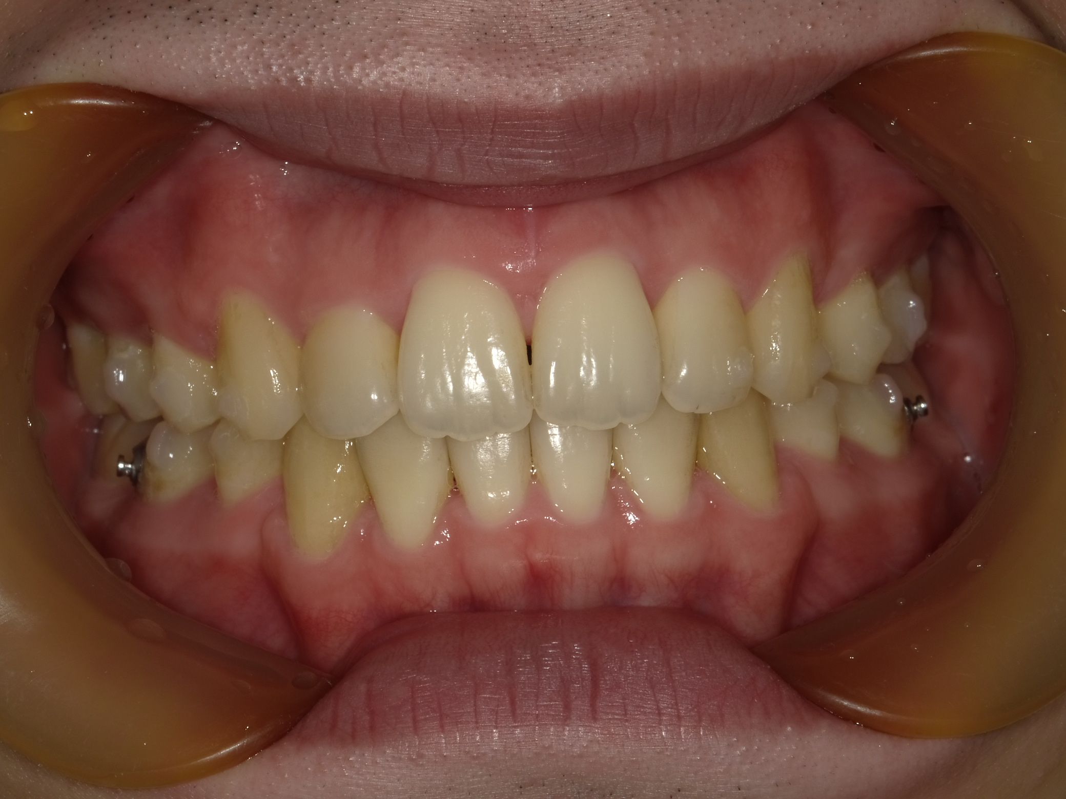
外観:術前

インビザラインで叢生を改善した例 術前下
インビザラインで叢生を改善した例 術前上

外観:術後

インビザラインで叢生を改善した例  術前 左
インビザラインで叢生を改善した例 術前 上

重度の叢生

BEFORE

インビザラインで叢生を改善した例 BEFORE

AFTER

 インビザラインで叢生を改善した例AFTER

担当医コメント

上下ともに狭窄歯列弓である。また大臼歯の噛み合わせは特に問題がない。このため歯を並べるスペースを確保するために、大臼歯の噛み合わせを崩さず並べる方針とした。小臼歯を抜歯しスペースを確保する治療を計画し、インビザラインでの治療を開始した。

親知らずを噛み合わせに参加させる計画であったが、親知らずをきれいに印象をとるのが難しいためコントロールを行うのが難しかった。

右側の臼歯を垂直的にコントロールするためにボタンとエラスティックを利用した。
患者はコンプライアンスが良く、装置もエラスティックも指示通りに使用してくれた。

治療の概要

年齢/性別
20代 女性
主訴
噛み合わせが悪い。上下の歯並びが気になる。
リスク
歯肉退縮が起こる可能性がある。臼歯が噛み合わなくなる。抜歯を伴う治療なのでインビザライン単独での治療は難しい可能性がある。
費用
88万円(矯正費用)
期間
2 6 ヶ月

術前

インビザラインで叢生を改善した例 術前上
インビザラインで叢生を改善した例  術前 左
インビザラインで叢生を改善した例 術前 上
インビザラインで叢生を改善した例 術前下
インビザラインで叢生を改善した例 術前 下

術中1

インビザラインで叢生を改善した例 術前上
インビザラインで叢生を改善した例  術前 左
インビザラインで叢生を改善した例 術前 上
インビザラインで叢生を改善した例 術前 下

術中2

インビザラインで叢生を改善した例 術前上
インビザラインで叢生を改善した例  術前 左
インビザラインで叢生を改善した例 術前 上
インビザラインで叢生を改善した例 術前下
インビザラインで叢生を改善した例 術前 下

術後

インビザラインで叢生を改善した例 術前上
インビザラインで叢生を改善した例  術前 左
インビザラインで叢生を改善した例 術前 上
インビザラインで叢生を改善した例 術前下
インビザラインで叢生を改善した例 術前 下

叢生・開咬

BEFORE

インビザラインで叢生を改善した例 BEFORE

AFTER

 インビザラインで叢生を改善した例AFTER

担当医コメント

叢生と開咬(オープンバイト)の改善を行った。叢生量が大きく非抜歯での改善は難しいので、小臼歯を抜歯しアライナーとエラスティックを併用し治療を進めた。

前歯の重なりをほどいていくとブラックトライアングルが現れる。上顎下顎前歯ともに、重なりが大きかったためブラックトライアングルが出てきた。IPRを加えて、歯を寄せることで多少の改善は見られた。

途中で臼歯のオープンバイトは見られず、臼歯のバイトは安定していた。

治療の概要

年齢/性別
20代 女性
主訴
主訴は歯並びがガタガタで前歯が噛んでいないことが気になる
リスク
歯肉退縮が起こる。臼歯が噛み合わなくなる。抜歯を伴う治療なのでインビザライン単独での治療は難しい可能性がある。
費用
88万円(矯正費用)
期間
2 4 ヶ月

術前

インビザラインで叢生を改善した例 術前上
インビザラインで叢生を改善した例  術前 左
インビザラインで叢生を改善した例 術前 上
インビザラインで叢生を改善した例 術前下
インビザラインで叢生を改善した例 術前 下

術中1

インビザラインで叢生を改善した例 術前上
インビザラインで叢生を改善した例  術前 左
インビザラインで叢生を改善した例 術前 上
インビザラインで叢生を改善した例 術前下
インビザラインで叢生を改善した例 術前 下

術中2

インビザラインで叢生を改善した例 術前上
インビザラインで叢生を改善した例  術前 左
インビザラインで叢生を改善した例 術前 上
インビザラインで叢生を改善した例 術前下
インビザラインで叢生を改善した例 術前 下

術後

インビザラインで叢生を改善した例 術前上
インビザラインで叢生を改善した例  術前 左
インビザラインで叢生を改善した例 術前 上
インビザラインで叢生を改善した例 術前下
インビザラインで叢生を改善した例 術前 下

上顎前突・重度の叢生

BEFORE

インビザラインで叢生を改善した例 BEFORE

AFTER

 インビザラインで叢生を改善した例AFTER

担当医コメント

重度の叢生であり、どの歯を抜歯するのが妥当性が高いのか、クリンチェックを何通りも作成し検討した。上顎は審美的に側切歯の抜歯は却下し、小臼歯の二本抜歯を計画した。

下顎も小臼歯の抜歯を検討したが、下顎前歯を1本だけ抜くスリーインサイザーで仕上げる計画と比較し、より咬合支持域が残せる下顎前歯一本抜歯の計画を選択した。下顎前歯の歯肉退縮が懸念されていたので、下顎前歯にはルートリンガルトルクを強く掛けて、傾斜移動を中心に改善した。

臼歯はバイトしているが、上顎の臼歯が若干口蓋側に傾斜しているので、微調整をしている。

治療の概要

年齢/性別
20代 女性
主訴
下の前歯の歯並びが気になる
リスク
歯肉退縮の恐れ
費用
85万円(矯正費用)
期間
2 6 ヶ月

術前

インビザラインで叢生を改善した例 術前上
インビザラインで叢生を改善した例  術前 左
インビザラインで叢生を改善した例 術前 上
インビザラインで叢生を改善した例 術前下
インビザラインで叢生を改善した例 術前 下

術中1

インビザラインで叢生を改善した例 術前上
インビザラインで叢生を改善した例  術前 左
インビザラインで叢生を改善した例 術前 上
インビザラインで叢生を改善した例 術前下
インビザラインで叢生を改善した例 術前 下

術中2

インビザラインで叢生を改善した例 術前上
インビザラインで叢生を改善した例  術前 左
インビザラインで叢生を改善した例 術前 上
インビザラインで叢生を改善した例 術前下
インビザラインで叢生を改善した例 術前 下

術中3

インビザラインで叢生を改善した例 術前上
インビザラインで叢生を改善した例  術前 左
インビザラインで叢生を改善した例 術前 上
インビザラインで叢生を改善した例 術前下
インビザラインで叢生を改善した例 術前 下

術中4

インビザラインで叢生を改善した例  術前 左
インビザラインで叢生を改善した例 術前 上
インビザラインで叢生を改善した例 術前下
インビザラインで叢生を改善した例 術前上
インビザラインで叢生を改善した例 術前 下

術後

インビザラインで叢生を改善した例 術前下
インビザラインで叢生を改善した例 術前 下
インビザラインで叢生を改善した例  術前 左
インビザラインで叢生を改善した例 術前 上
インビザラインで叢生を改善した例 術前上

INFORMATION

新着情報

RESERVATION

診療予約・矯正相談

診療のご予約・矯正のご相談は以下より
ご連絡ください。
皆様のご連絡をお待ちしております。

診療時間
月-火-水-金-土
09:00 - 13:00 15:00 - 18:30
休診日
木・日・祝

〒164-0001
東京都中野区中野5-67-5 SKGT長谷部6階

ACCESS

アクセス

最寄り駅 JR中野駅 北口より徒歩3分

待合室
外観