診療時間
月-火-水-金-土
09:00 - 13:00 15:00 - 18:30
休診日
木・日・祝

〒164-0001
東京都中野区中野5-67-5 SKGT長谷部6階

インビザラインの矯正症例
反対咬合(受け口)

© 2022 Igumi Dental Clinic. all rights reserved.

症状から探す

反対咬合(受け口)とは?

反対咬合(受け口)とは、上下の噛み合わせが反対のことを指します。上顎は10歳程度で成長が止まるのに対し、下顎は成長をし続けるので、上下反対の噛み合わせになってしまいます。

ステージごとに詳細に説明する

反対咬合(受け口)

しゃくれるような見た目だけではありません。上下反対のかみ合わせだと、下の歯の前歯に力がかかるので、歯周病を進行させてしまうリスクがあります。歯周病は噛み合わせによっても進行を早めることがありますので、将来的の口腔環境を考えると治すことが大切です。

CASE STUDY

受け口をインビザラインで
治療した例をご紹介

実際にインビザラインで治療した症例をご紹介します。

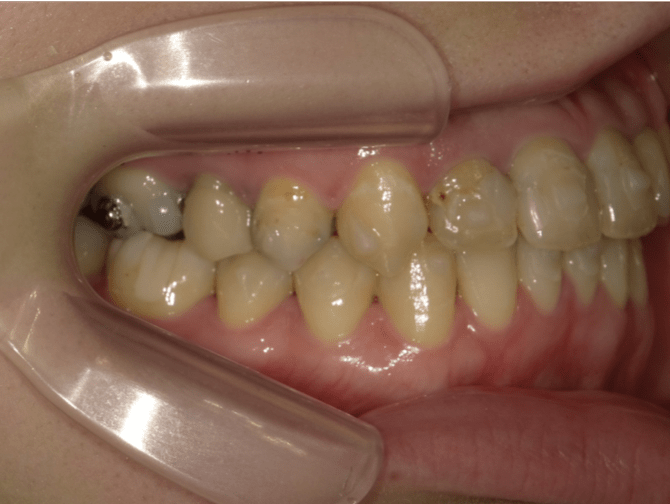
受け口(切端咬合)

BEFORE

BEFORE

AFTER

AFTER

担当医コメント

下顎の奥歯を遠心移動させ、上顎前歯を挺出、下顎前歯を舌側に移動させることで前歯の被蓋を作る治療の計画を立てました。

治療の概要

年齢/性別
40歳 女性
主訴
主訴は前歯で物がかみ切りにくい。奥歯が強く当たって歯が欠けるでした。
リスク
歯肉退縮が起こる可能性がある。
費用
85万円(矯正費用)
期間
1 6 ヶ月

術前

BEFORE
BEFORE
BEFORE
BEFORE
BEFORE

術後

BEFORE
BEFORE
BEFORE
BEFORE
BEFORE

受け口(下顎前突)

BEFORE

BEFORE

AFTER

AFTER

担当医コメント

左上第一小臼歯にインプラントが埋入してあるため、このためこの歯は移動させず、下顎の前歯を舌側に移動させ上下の前歯の被蓋を改善する計画としました。

治療の概要

年齢/性別
31歳 女性
主訴
前歯の噛み合わせを治したい、上顎の歯並びを治したいでした。
リスク
歯肉退縮が起こる可能性がある。
費用
85万円(矯正費用)
期間
9ヶ月

術前

BEFORE
BEFORE
BEFORE
BEFORE
BEFORE

術中

BEFORE
BEFORE
BEFORE
BEFORE
BEFORE

術後

BEFORE
BEFORE
BEFORE
BEFORE
BEFORE
親切丁寧な対応
COUNSELING

受け口を
インビザラインで解決したい皆様へ

受け口や反対咬合の口元でお悩みの方は、お気軽にご相談ください。
当院では無料相談を実施しており、患者様のお口の状態を拝見させていただいた上で、丁寧にご説明させていただきます。

RESERVATION

診療予約・矯正相談

診療のご予約・矯正のご相談は以下より
ご連絡ください。
皆様のご連絡をお待ちしております。

診療時間
月-火-水-金-土
09:00 - 13:00 15:00 - 18:30
休診日
木・日・祝

〒164-0001
東京都中野区中野5-67-5 SKGT長谷部6階

ACCESS

アクセス

最寄り駅 JR中野駅 北口より徒歩3分

待合室
外観