診療時間
月-火-水-金-土
09:00 - 13:00 15:00 - 18:30
休診日
木・日・祝

〒164-0001
東京都中野区中野5-67-5 SKGT長谷部6階

インビザラインの矯正症例
過蓋咬合

© 2022 Igumi Dental Clinic. all rights reserved.

過蓋咬合(噛みあわせが深い)とは?

過蓋咬合は、噛み合わせが深い状態のことを指します。歯を噛み合せた時に下の歯が見えなかったり、下の歯が上の歯茎に接触している場合は、過蓋咬合の可能性があります。

ステージごとに詳細に説明する

過蓋咬合を放置するリスク

過蓋咬合は深く噛み合ってしまうが故に、下の顎が動かなくなってしまいます。それによって顎関節に強い負荷がかかるため、こめかみ付近が疲れたり、お口が開きにくくなってしまうことがあります。

CASE STUDY

過蓋咬合をインビザラインで
治療した例をご紹介

実際にインビザラインで治療した症例をご紹介します。

過蓋咬合(ディープバイト)

BEFORE

BEFORE

AFTER

AFTER

担当医コメント

奥歯の噛み合わせの修正と前歯の噛み合わせを修正する必要がある。上顎奥歯の遠心移動と、上下顎前歯の圧下を組み合わせてインビザラインで治療を行った。

治療の概要

年齢/性別
28歳 女性
主訴
前歯の噛み合わせが気になる
リスク
歯肉退縮が起こる可能性がある。
費用
85万円(矯正費用)
期間
1

術前

術後

過蓋咬合と叢生

BEFORE

BEFORE

AFTER

AFTER

担当医コメント

上下に叢生が見られる。下顎前歯を上顎前歯が大きく覆っている。上下顎前歯を圧下し過蓋咬合の改善、IPRを加えて叢生の改善を計画し、インビザラインで治療を行う事とした

治療の概要

年齢/性別
20歳 女性
主訴
前歯が気になる。上下の歯並びが気になる。
リスク
歯肉退縮が起こる可能性がある。
費用
85万円(矯正費用)
期間
1 3 ヶ月

術前

術中

術後

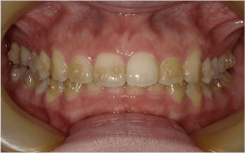
過蓋咬合

BEFORE

BEFORE

AFTER

AFTER

担当医コメント

上下前歯の深い被蓋が見られる。上下顎前歯の圧下を組み込んで改善を行った。左側小臼歯に鋏状咬合(シザースバイト)が見られた。左側下顎小臼歯が舌側に傾斜していたので、拡大をし咬合させた。上下に叢生が見られる。歯列の拡大、IPRを組み合わせてインビザラインで治療を行う事にした。

治療の概要

年齢/性別
20代 男性
主訴
前歯が気になる。上下の歯並びが気になる。
リスク
歯肉退縮が起こる可能性がある。
費用
85万円(矯正費用)
期間
1 6 ヶ月

術前

術中

術後

親切丁寧な対応
COUNSELING

過蓋咬合を
インビザラインで解決したい皆様へ

過蓋咬合は強く噛み合わせるため、見た目よりも治療した歯が割れてしまったり、顎関節症の原因となります。

過蓋咬合をインビザラインで改善したいと思われている患者様は、まずは無料相談をご利用ください。(要予約)

患者様のお話を伺いながら、丁寧にご説明させていただきます。

INFORMATION

新着情報

RESERVATION

診療予約・矯正相談

診療のご予約・矯正のご相談は以下より
ご連絡ください。
皆様のご連絡をお待ちしております。

診療時間
月-火-水-金-土
09:00 - 13:00 15:00 - 18:30
休診日
木・日・祝

〒164-0001
東京都中野区中野5-67-5 SKGT長谷部6階

ACCESS

アクセス

最寄り駅 JR中野駅 北口より徒歩3分

待合室
外観