診療時間
月-火-水-金-土
09:00 - 13:00 15:00 - 18:30
休診日
木・日・祝

〒164-0001
東京都中野区中野5-67-5 SKGT長谷部6階

インビザラインの症例
出っ歯(上顎前突)

© 2022 Igumi Dental Clinic. all rights reserved.

症状から探す

出っ歯(上顎前突)とは?

出っ歯は、前歯が前に出ていることが一般的な認識ですが、それだけではなく上顎が大きいもしくは、下顎が小さいことで前歯が出ているような状態になることもあります。口を閉じていても前歯が出ている場合は、出っ歯に該当します。

ステージごとに詳細に説明する

出っ歯を放置するリスク

リスクとしては、見た目だけでなく他にも存在します。
それは、咀嚼がしにくいことでものが噛みにくくなってしまったり、口を閉じにくいことからドライマウスになる可能性があります。
また、お口が乾くということは、唾液緩衝能(歯を酸性から中性に戻すつばの役割)がないため、虫歯になりやすいリスクもあります。

CASE STUDY

出っ歯をインビザラインで
治療した例をご紹介

実際にインビザラインで治療した症例をご紹介します。

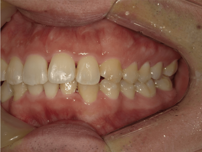
出っ歯をインビザラインで改善した例1

BEFORE

BEFORE

AFTER

AFTER

担当医コメント

上顎の2本が前に出ている。奥歯の位置が悪くないので歯列の拡大とIPRでスペースを確保しインビザラインで治療をすることにした。

治療の概要

年齢/性別
31歳男性
主訴
上の前歯が気になる。
リスク
歯肉退縮が起こる可能性がある。
費用
85万円(矯正費用)
期間
1 3 ヶ月

術前

術中

術後

出っ歯をインビザラインで改善した例2

BEFORE

BEFORE

AFTER

AFTER

担当医コメント

下顎の前歯が1歯先天性欠如をしている。上顎は前歯が唇側に傾斜をしているが、大臼歯の噛み合わせが悪くないので、ここを安定させIPRを中心にスペースを確保する治療計画でインビザライン治療を開始した。

治療の概要

年齢/性別
31歳男性
主訴
前歯が出ているのが気になる。
リスク
歯肉退縮が起こる可能性がある。
費用
85万円(矯正費用)
期間
10ヶ月

術前

術中

術後

出っ歯をインビザラインで改善した例3

BEFORE

BEFORE

AFTER

AFTER

担当医コメント

上下に叢生がある。IPRと歯列の拡大で改善可能と考えインビザラインで治療を行うことにした。
上下顎の正中がずれているので、IPRを用いて調整した。
上顎の前歯の歯軸の角度を調整し、唇側傾斜を改善した。

治療の概要

年齢/性別
31歳 女性
主訴
上の前歯が気になる。
リスク
歯肉退縮が起こる可能性がある。
費用
85万円(矯正費用)
期間
1 5 ヶ月

術前

術後

親切丁寧な対応
COUNSELING

出っ歯を
インビザラインで解決したい皆様へ

最近の患者様は、前歯の出っ張りが気になってご来院されるケースが多くなっています。
いわゆる出っ歯は、見た目だけの問題ではなく、お口が閉じにくいという特徴から、乾燥しやすくなり、虫歯や歯周病を進行させる原因にもなります。

矯正はいつからでも始められます。気になったらまずはお気軽にお問い合わせください。当院では無料相談を行っておりますので是非ご活用ください。(要予約)

INFORMATION

新着情報

RESERVATION

診療予約・矯正相談

診療のご予約・矯正のご相談は以下より
ご連絡ください。
皆様のご連絡をお待ちしております。

診療時間
月-火-水-金-土
09:00 - 13:00 15:00 - 18:30
休診日
木・日・祝

〒164-0001
東京都中野区中野5-67-5 SKGT長谷部6階

ACCESS

アクセス

最寄り駅 JR中野駅 北口より徒歩3分

待合室
外観