診療時間
月-火-水-金-土
09:00 - 13:00 15:00 - 18:30
休診日
木・日・祝

〒164-0001
東京都中野区中野5-67-5 SKGT長谷部6階

インビザラインの症例
八重歯

© 2022 Igumi Dental Clinic. all rights reserved.

CASE STUDY

八重歯をインビザラインで
治療した例をご紹介

実際にインビザラインで治療した症例をご紹介します。

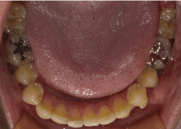
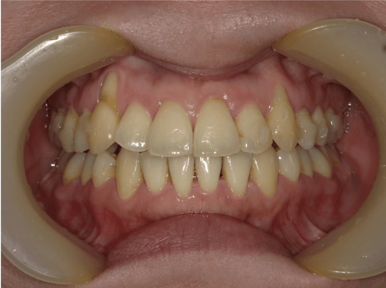
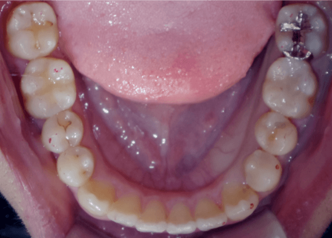
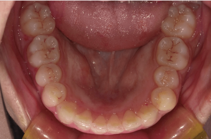
八重歯、捻転歯

BEFORE

BEFORE

AFTER

AFTER

担当医コメント

上下の軽度の叢生があり、上顎に内側に大きく入り込んだ歯牙がある。補綴が多く、IPRでスペースを確保できるのでインビザラインでの治療が可能と判断した。
外して影響の少ない補綴は矯正前に外して、矯正後に再度やりなした。

治療の概要

年齢/性別
39歳 女性
主訴
上下の歯並びがガタガタと奥歯の噛み合わせ。銀歯をやり替えたい。
リスク
叢生の改善時に歯肉の退縮が起こる
費用
85万円(矯正費用)
期間
2 6 ヶ月

術前

術前
術前
術前
術前
術前

術中

術前
術前
術前
術前
術前

術後

術前
術前
術前
術前
術前

八重歯、側方オープンバイト

BEFORE

BEFORE

AFTER

AFTER

担当医コメント

側方歯がオープンバイトで犬歯は八重歯になっている。大臼歯の遠心移動とIPRでスペースを確保し、小臼歯の挺出と犬歯の排列を計画し、インビザラインで治療する事とした。

治療の概要

年齢/性別
38歳 男性
主訴
噛み合わせが悪い。八重歯が気になる。
リスク
歯肉退縮が起こる可能性がある。インビザライン単独での治療は難しい可能性がある。
費用
85万円(矯正費用)
期間
4

術前

術前
術前
術前
術前
術前

術中

術前
術前
術前
術前
術前

術中(経過)

術前
術前
術前
術前
術前

術後

術前
術前
術前
術前
術前

八重歯(叢生)

BEFORE

BEFORE

AFTER

AFTER

担当医コメント

八重歯を並べるためのスペースを上顎大臼歯の遠心移動とIPRで確保する計画を立て、インビザラインで治療することとした。

治療の概要

年齢/性別
26歳 男性
主訴
八重歯が気になる
リスク
歯肉退縮が起こる可能性がある
費用
85万円(矯正費用)
期間
1 5 ヶ月

術前

術前
術前
術前
術前
術前

術中

術前
術前
術前
術前
術前

術後

術前
術前
術前
術前
術前

八重歯(重度叢生)

BEFORE

BEFORE

AFTER

AFTER

担当医コメント

重度の叢生だが、患者の希望により非抜歯での治療を検討した。補綴が多いため補綴に対してのIPRでスペースを確保し、上顎大臼歯の遠心移動を組み合わせ治療することにした。上顎犬歯の歯肉退縮は患者の希望によりこのままで進める事にした。

治療の概要

年齢/性別
40歳 女性
主訴
噛み合わせ八重歯が気になる。上顎の歯が内側に入っているのが気になる
リスク
歯肉退縮が起こる可能性がある。
歯肉退縮を起こしている部位がより進行する可能性がある。
費用
85万円(矯正費用)
期間
2 6 ヶ月

術前

術前
術前
術前
術前
術前

術中

術前
術前
術前
術前
術前

術後

術前
術前
術前
術前
術前

八重歯、重度叢生

BEFORE

BEFORE

AFTER

AFTER

担当医コメント

左側八重歯があり、上下顎ともに重度の叢生である。歯を並べるスペースの確保を考えると抜歯を検討したが、患者の強い希望で非抜歯による治療を選択した。拡大とIPR、下顎前歯の唇側傾斜により、スペースの確保を計画しインビザライン治療を開始した。

治療の概要

年齢/性別
29歳 女性
主訴
上下ともに歯並びが悪い。非抜歯で治療して欲しい。
リスク
歯肉退縮が起こる可能性がある。
費用
85万円(矯正費用)
期間
4

術前

術前
術前
術前
術前
術前

術中

術前
術前
術前
術前
術前

術中(経過)

術前
術前
術前
術前
術前

術中
(治療終盤、咬合チェック時)

術前
術前
術前
術前
術前

術後

術前
術前
術前
術前
術前
親切丁寧な対応
COUNSELING

八重歯を
インビザラインで解決したい皆様へ

八重歯は叢生の一種です。
以前は日本人独自の【チャームポイント】として捉えられていましたが、最近ではコンプレックスに感じている方が増えていると感じます。

八重歯でお悩みの方は、まず当院の無料相談をご活用ください。(要予約)
きっとお力になれると思います。

INFORMATION

新着情報

RESERVATION

診療予約・矯正相談

診療のご予約・矯正のご相談は以下より
ご連絡ください。
皆様のご連絡をお待ちしております。

診療時間
月-火-水-金-土
09:00 - 13:00 15:00 - 18:30
休診日
木・日・祝

〒164-0001
東京都中野区中野5-67-5 SKGT長谷部6階

ACCESS

アクセス

最寄り駅 JR中野駅 北口より徒歩3分

待合室
外観