診療時間
月-火-水-金-土
09:00 - 13:00 15:00 - 18:30
休診日
木・日・祝

〒164-0001
東京都中野区中野5-67-5 SKGT長谷部6階

インビザラインの症例
叢生 (乱杭歯)

© 2022 Igumi Dental Clinic. all rights reserved.

叢生とは?

叢生は歯が重なっていたり、互い違いになっていることデコボコして見えてしまう歯並びを指しています。

顎が小さいことにより、歯が生えるスペースが無くて窮屈な状態で歯が生えることにで起こる症状です。

わかりやすく例えると、3人がけのベンチに5人座ろうと思うとだれかが前に飛び出してしまったり、人の上に座らない限り収まらないというのと同じことです。

ステージごとに詳細に説明する

叢生を放置するリスク

叢生を放置するリスクは様々です。

見た目だけの話ではなく、デコボコなので歯磨きがしにくく、虫歯や歯周病になりやすいというリスクがあります。

歯科医院で定期的なクリーニングを受けることも大切ですが、1番なのはセルフケアしやすい歯並びに治すことが大事になります。

CASE STUDY

叢生をインビザラインで
治療した例をご紹介

実際にインビザラインで治療した症例をご紹介します。

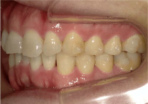
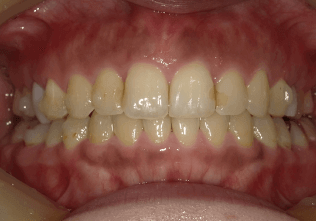
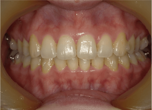
軽度の叢生

BEFORE

BEFORE

AFTER

AFTER

担当医コメント

上下顎に軽度の叢生があった。奥歯の位置を調整し左上の前歯の捻転を含めて、インビザラインでの改善が可能と判断し、治療をすすめました。

治療の概要

年齢/性別
42歳 女性
主訴
前歯の位置が気になる
リスク
歯肉退縮が起こる可能性がある。
費用
82万円(矯正費用)
期間
8ヶ月

術前

術後

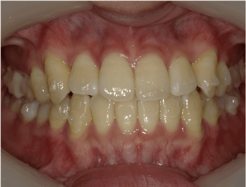
叢生(後戻り)

BEFORE

BEFORE

AFTER

AFTER

担当医コメント

以前、一度矯正治療を受けたが後戻りにより歯並びに問題が出てきた。上下顎に叢生があり、上顎前歯が前突している。叢生量を鑑みてインビザラインでの治療が可能と判断した

治療の概要

年齢/性別
33歳 女性
主訴
前歯が出ているのが気になる。
一度矯正治療をしたがまた悪くなってしまったので綺麗に治したいでした。
リスク
歯肉退縮が起こる可能性がある。
費用
85万円
期間
10ヶ月

術前

術中

術後

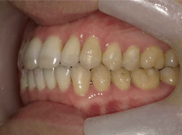
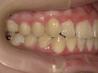
叢生(狭窄歯列弓)

BEFORE

BEFORE

AFTER

AFTER

担当医コメント

下顎の歯が内側に倒れ狭窄歯列弓になっている。下顎を拡大することで下顎の歯列を整える計画をし、インビザラインで治療をする事にした。

治療の概要

年齢/性別
39歳 男性
主訴
下の歯の並びがガタガタなので、歯磨きがしにくいので治したいでした。
リスク
下顎の叢生改善時に歯肉退縮が起こる可能性がある
費用
82万円(矯正費用)
期間
8ヶ月

術前

術後

叢生(クロスバイト)

BEFORE

BEFORE

AFTER

AFTER

担当医コメント

右側の前歯の噛み合わせが逆転している。下顎の正中が右にズレている。下顎の右側前歯を舌側に入れて被蓋を改善し、正中を改善する計画を立てた

治療の概要

年齢/性別
39歳 女性
主訴
前歯の噛み合わせが悪い
リスク
歯肉退縮が起こる可能性がある
費用
82 万円(矯正費用)
+ 22 万円(セラミック費用)
期間
2 2 ヶ月

術前

術中

術後

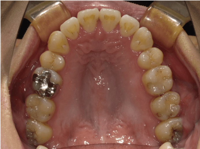
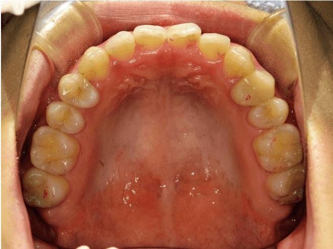
叢生(中等度)

BEFORE

BEFORE

AFTER

AFTER

担当医コメント

上下の中等度の叢生がある。上顎の大臼歯の遠心移動が出来るスペースがある、補綴が多いのでIPRによってスペースが確保出来るのでインビザラインで治療を行った。

治療の概要

年齢/性別
26歳 女性
主訴
上下の歯並びが気になる。八重歯が気になるでした。
リスク
歯肉退縮が起こる可能性がある。叢生の改善により、ブラックトライアングルが出て来る可能性がある。
費用
85万円(矯正費用)

術前

術中

術後

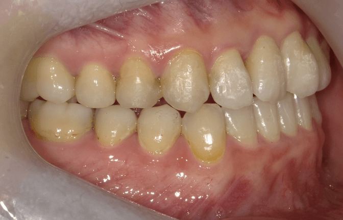
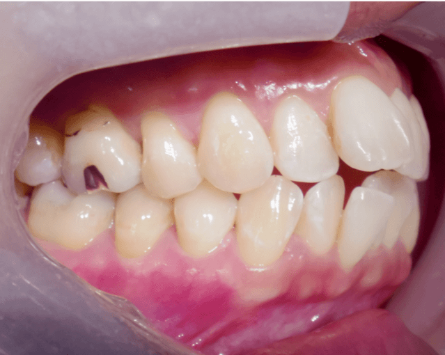
叢生(翼状捻転)

BEFORE

BEFORE

AFTER

AFTER

担当医コメント

上顎の前歯が近心に捻転している。大臼歯を遠心移動を行い、IPRでスペースを確保することで、前歯を並べるスペースを作る計画を立てた。

治療の概要

年齢/性別
27歳 女性
主訴
前歯が気になる
リスク
前歯の捻転改善時にブラックトライアングルが出来る可能性がある。
歯肉退縮が起こる可能性がある
費用
85万円(矯正費用)
期間
1 7 ヶ月

術前

術中

術後

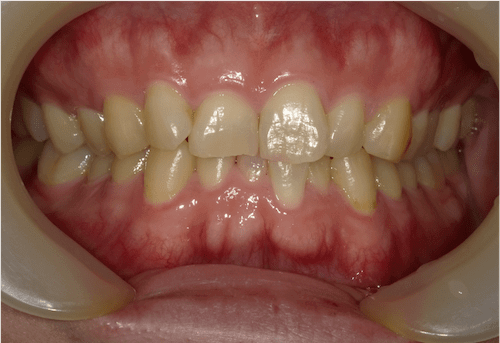
叢生(翼状捻転 Case2)

BEFORE

BEFORE

AFTER

AFTER

担当医コメント

上下に叢生がある。IPRと上顎大臼歯の遠心移動と歯列の拡大で改善可能と考えインビザラインで治療を行うことにした。

治療の概要

年齢/性別
14歳 女性
主訴
上下の前歯のガタガタが気になる
リスク
歯肉退縮が起こる可能性がある
費用
85万円(矯正費用)
期間
1 6 ヶ月

術前

術中

術後

叢生(非抜歯)

BEFORE

BEFORE

AFTER

AFTER

担当医コメント

上下に叢生がある。上顎大臼歯の遠心移動、IPR、歯列の拡大で改善可能と考えインビザラインで治療を行うことにした。
叢生量を考えると抜歯を検討したが、患者さんの主訴と口元の突出感を考慮して非抜歯での治療を立案した。
上下顎の正中がずれているので、IPRを用いて調整した。

治療の概要

年齢/性別
28歳 女性
主訴
上下の前歯のガタガタが気になる。
リスク
歯肉退縮が起こる可能性がある
費用
85万円(矯正費用)
期間
1 7 ヶ月

術前

術中

術後

叢生(軽度)

BEFORE

BEFORE

AFTER

AFTER

担当医コメント

上下に軽度の叢生がある。IPRと歯列の拡大で改善可能と考えインビザラインで治療を行うことにしました。
IPRは被せ物や銀歯の部位に集中させて、歯にかかる負担をなるべく少なくなるように計画した

治療の概要

年齢/性別
26歳 女性
主訴
上下の歯並びが気になる
リスク
歯肉退縮が起こる可能性がある。
費用
82万円(矯正費用)
期間
1 5 ヶ月

術前

術中

術後

叢生(翼状捻転  Case3)

BEFORE

BEFORE

AFTER

AFTER

担当医コメント

上顎前歯に捻転、上下顎に叢生が見られる。上顎臼歯の遠心移動、側方拡大、IPRを用いて歯列の改善をインビザライン治療で行う事にした。
また上顎中切歯の形態に左右差があり、切縁の形態に特徴があるため、削合による形態修正を行う事とした。

患者は協力度が高く装置を20時間以上きちんと使えており、治療が順調に経過したため、装置の交換ペースを1週間ではなく5日間で治療をすすめた。

治療の概要

年齢/性別
20代 女性
主訴
前歯が気になる。上下の歯並びが気になる。
リスク
歯肉退縮が起こる可能性がある。
費用
85万円(矯正費用)
期間
1 6 ヶ月

術前

術中

術後

叢生(重度)

BEFORE

BEFORE

AFTER

AFTER

担当医コメント

上顎に重度の叢生、下顎にも叢生が見られる。
抜歯による治療も検討したが、口元の改善が必要なかったのと年齢が若いため治療の反応が期待できる事もあり、非抜歯での治療を立案した。上顎大臼歯の遠心移動、IPR、側方拡大を組み入れてインビザライン治療を行う事とした。

治療の概要

年齢/性別
20代 女性
主訴
前歯が気になる。上下の歯並びが気になる。
リスク
歯肉退縮が起こる可能性がある。
費用
88万円(矯正費用)
期間
2 8 ヶ月

術前

術中

術後

叢生(治療期間短縮ケース)

BEFORE

BEFORE

AFTER

AFTER

担当医コメント

上下に叢生が見られる。歯列の拡大、臼歯の遠心移動、IPRを組み合わせてインビザラインで治療を行う事にした。
コンプライアンスが良く、治療に協力的だったため装置の交換周期を短縮し、治療はスムーズに進んだ。

治療の概要

年齢/性別
20代 女性
主訴
前歯が気になる。上下の歯並びが気になる。
リスク
歯肉退縮が起こる可能性がある。
費用
85万円(矯正費用)
期間
1 6 ヶ月

術前

術中

術後

叢生(歯を挺出させたケース)

BEFORE

BEFORE

AFTER

AFTER

担当医コメント

上下顎に叢生が見られる。上顎の側切歯が左右とも低位にあり、挺出させる必要がある。
マウスピース治療では咬合と逆方向に歯を移動させる挺出の動きが不得手な面もあるが、アタッチメント等を工夫して対応可能と判断し、インビザラインで治療を行う事とした。

治療の概要

年齢/性別
20代 女性
主訴
前歯が気になる。上下の歯並びが気になる。
リスク
歯肉退縮が起こる可能性がある。
費用
85万円(矯正費用)
期間
1 6 ヶ月

術前

術中

術後

叢生(上下顎ともに軽度のケース)

BEFORE

BEFORE

AFTER

AFTER

担当医コメント

上下顎に叢生が見られる。歯列弓の拡大とIPRを加えて、インビザラインで治療を行う事とした。

治療の概要

年齢/性別
20代 男性
主訴
前歯が気になる。上下の歯並びが気になる。
リスク
歯肉退縮が起こる可能性がある。
費用
85万円(矯正費用)
期間
1 6 ヶ月

術前

術中

術後

叢生(矯正+ブリッジのケース)

BEFORE

BEFORE

AFTER

AFTER

担当医コメント

上下顎に叢生が見られる。右上6番の欠損部はブリッジで補綴している。全顎的に歯肉退縮がみられる。
叢生量だけを見るとインビザラインで治療する事は問題ないが、歯肉退縮が大きく進まないことを考慮して、IPRと遠心移動を中心に治療の計画を立てた。
ブリッジや補綴は一時的に仮歯に変えて、矯正治療後にセラミックに変えた。

治療の概要

年齢/性別
60代 女性
主訴
前歯が気になる。上下の歯並びが気になる。
リスク
歯肉退縮が起こる可能性がある。
費用
83万円(矯正費用)
期間
1 6 ヶ月
備考
他院で補綴をおこなっていた。

術前

術中

術後

親切丁寧な対応
COUNSELING

叢生を
インビザラインで解決したい皆様へ

叢生は当院の中でも一番相談が多い症状です。また、叢生の一種である八重歯も治したいと考えられている方が増えてきています。

叢生をインビザラインで改善したいと思われている患者様は、まずは無料相談をご利用ください。(要予約)
患者様のお話を伺いながら、丁寧にご説明させていただきます。

INFORMATION

新着情報

RESERVATION

診療予約・矯正相談

診療のご予約・矯正のご相談は以下より
ご連絡ください。
皆様のご連絡をお待ちしております。

診療時間
月-火-水-金-土
09:00 - 13:00 15:00 - 18:30
休診日
木・日・祝

〒164-0001
東京都中野区中野5-67-5 SKGT長谷部6階

ACCESS

アクセス

最寄り駅 JR中野駅 北口より徒歩3分

待合室
外観