診療時間
月-火-水-金-土
09:00 - 13:00 15:00 - 18:30
休診日
木・日・祝

〒164-0001
東京都中野区中野5-67-5 SKGT長谷部6階

INVISALIGN LITE

インビザライン・ライト

© 2022 Igumi Dental Clinic. all rights reserved.

  • HOME
  • インビザライン・ライト

インビザラインライトとは?

インビザライン・ライトは、軽度の不正歯列や矯正治療後の後戻りに対して有効です。例えば、前歯の軽度の叢生(でこぼこ)や軽度のすきっ歯、前歯部のみの部分矯正などが挙げられます。

全体ではなく部分的な歯並びを改善したいと考えている方には、最適なマウスピース矯正の選択肢でしょう。

インビザラインライトとは?

インビザライン・ライトの
メリット・デメリット

メリット

  • 部分的な不正歯列に適している
  • 矯正の後戻りの治療に適している
  • 移動可能な歯に制限がない
  • 治療期間が比較的短く済む
  • 通常のインビザラインに比べ、安価で済む
  • 通常のインビザライン同様、目立たず、痛みが少ない
  • 取り外せるため、清掃性が高い

デメリット

  • 症例が限定的である
  • アライナーの数に制限がある
  • 追加アライナーに制限があるため、何度も修正回数も限られる

通常のインビザラインに比べ、制限はありますが軽度〜中度の歯列矯正であれば、インビザライン・ライトは非常に有効な治療になります。

インビザライン・ライトと
インビザライン・GOの違い

部分的な矯正を検討する際によく質問をいただくのが、インビザライン・ライトとインビザラインGOの違いです。部分的な矯正治療をインビザラインで治したいと考えた場合に比較される方が多いのですが、簡単にいうと「アライナー数と歯の移動範囲」です。

インビザライン・ライト

アライナー数

14枚

移動範囲

制限なく全ての歯を移動可

インビザライン・GO

アライナー数

20枚

移動範囲

大臼歯を移動することができない

どちらの装置が良い・悪いというものではなく、治療目的に応じて使い分けるというのが一番伝えたいことです。
どちらにしようか悩んでいる方は、無料相談時にお聞きしていただければ、違いなども詳しくお話させていただきます。

症例で見る
インビザライン・ライト

矯正治療の後戻りを
インビザラインライトで改善

BEFORE

BEFORE

AFTER

AFTER

担当医コメント

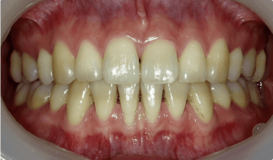
上顎前歯に軽度の叢生が見られる。大臼歯の咬合関係は問題なかったので、前歯のみの改善を目標にし、インビザラインライトで治療する事とした。

治療の概要

年齢/性別
20代 女性
主訴
後戻りをしてしまった前歯が気になる
リスク
歯肉退縮が起こる可能性がある。
費用
55万円(矯正費用)
期間
7ヶ月

術前

術後

術後
術後
術後
術後
術後

軽度の叢生を
インビザラインライトで改善

BEFORE

BEFORE

AFTER

AFTER

担当医コメント

上顎前歯に軽度の叢生が見られる。大臼歯の咬合関係は問題なかったので、前歯のみの改善を目標にし、インビザラインライトで治療する事とした。

治療の概要

年齢/性別
50代 女性
主訴
前歯が気になる。
リスク
歯肉退縮が起こる可能性がある。
費用
55万円(矯正費用)
期間
15ヶ月

術前

術後

術後
術後
術後
術後
術後

INFORMATION

新着情報

RESERVATION

診療予約・矯正相談

診療のご予約・矯正のご相談は以下より
ご連絡ください。
皆様のご連絡をお待ちしております。

診療時間
月-火-水-金-土
09:00 - 13:00 15:00 - 18:30
休診日
木・日・祝

〒164-0001
東京都中野区中野5-67-5 SKGT長谷部6階

ACCESS

アクセス

最寄り駅 JR中野駅 北口より徒歩3分

待合室
外観