診療時間
月-火-水-金-土
09:00 - 13:00 15:00 - 18:30
休診日
木・日・祝

〒164-0001
東京都中野区中野5-67-5 SKGT長谷部6階

ADULT ORTHODONTICS

成人矯正

© 2022 Igumi Dental Clinic. all rights reserved.

矯正歯科を通じて、
審美的・機能的改善を目指します。

当院は矯正歯科を通じて、歯並びでお悩みになられている患者様の審美的な問題、不正咬合の機能的問題を解決していくという目標を掲げています。

当院の矯正治療ではインビザラインを中心とした矯正治療を行っており、重度の不正咬合に関してはワイヤー矯正とのコンビネーション治療も行っております。

悪い歯並びでお悩みになられている方を一人でも担当し、自信を持って過ごしていただけるよう最善を尽くします。

矯正治療の症例も公開しておりますので、ご参考にしていただき、どの歯科医院で矯正治療を行うかご検討いただけたらと思っています。

審美的・機能的改善を目指す

審美的に美しい歯並びと
機能・予防までを見据えた矯正歯科を

「矯正治療(歯列矯正)は歯並びを治す」という審美的な改善が中心と考えられている方が多いと思いますが、大切なのは「歯列が整った(審美改善)上で、正しい噛み合わせを実現する」ということです。

不正咬合の改善は美しい歯列を実現するだけでなく、虫歯や歯周病に侵されないような清掃性の高い歯列になり、特定の歯に負荷が集中しないような噛み合わせにすることで、虫歯や歯周病の進行因子を予防し、過度な負荷による歯の欠け・割れ・顎関節症の予防にも繋がります。

目先の治療だけをせず、患者様の長期的な健康を考えた矯正治療を行います。

機能・予防までを見据えた矯正歯科

不正咬合を
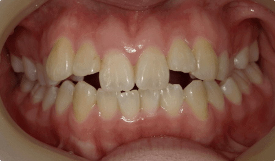
矯正治療(インビザライン)
で改善した症例

BEFORE

BEFORE

AFTER

AFTER

担当医コメント

上下顎に叢生が見られる。歯列弓の拡大とIPRを加えて、インビザラインで治療を行う事とした。

治療の概要

年齢/性別
20代男性
主訴
前歯が気になる。上下の歯並びが気になる。
リスク
歯肉退縮が起こる可能性がある。
費用
85万円(矯正費用)
期間
16ヶ月

FEATURE

当院の矯正治療の特徴

インビザライン・プラチナプロバイダー

院長は一般歯科医では数少ないインビライン・プラチナプロバイダーです。

インビザラインへの深い知識と経験、ワイヤー矯正と組み合わせたコンビネーション治療など、あらゆる不正咬合に対応した矯正治療を行います。

インビザライン・プラチナプロバイダー

一般歯科医ならではの総合治療

矯正専門歯科との大きな違いは、虫歯・歯周病・審美歯科・予防歯科に対応できることです。

矯正治療+αの治療が行えることが大きな特徴であると考えています。

一般歯科医ならではの総合治療

歯を守るための矯正治療

「矯正歯科は歯並びを治す治療」というイメージがありますが、実は噛み合わせを整えることが矯正歯科では重要です。

悪い噛み合わせがあると過度な負担が歯にかかるため、歯を失う原因となったり、虫歯や歯周病を進行させる原因にもなります。

矯正治療で噛み合わせを考慮した治療は、あなたの歯を守ることに繋がります。

インビザライン・プラチナプロバイダー

当院が対応する矯正治療と矯正装置

当院では全顎矯正と部分矯正に対応しています。

装置は全ての不正咬合の症例をマウスピース型矯正装置のインビザラインで行いますが、症状の度合いによってはブラケット装置(ワイヤー矯正)を用いたコンビネーション治療で行います。

また、抜歯をしないためのIPR(歯を削り、動かすスペースを作る)を用いたり、矯正治療の良好な結果を得るために重要な虫歯治療や歯周治療も当院で対応することができます。

インビザライン・プラチナプロバイダー

当院で矯正可能な
不正咬合

当院では、全ての不正咬合に対応しております。
詳しくは当院で行った矯正治療の症例を用いて詳しく解説していますので、お悩みの不正咬合がありましたらクリックして詳細をご確認ください。

親切丁寧な対応
COUNSELING

インビザラインの無料相談
を実施しています。

当院では矯正治療の無料相談を承っております。

カウンセリングや視診を通して、簡易検査でわかる範囲で不正咬合の問題点をお伝えします。また、類似症例などをお見せしながら当院で矯正治療を行う際の方針なども併せてお伝えいたします。

矯正治療やインビザラインをご検討の方は無料相談をご利用ください。

INFORMATION

新着情報

RESERVATION

診療予約・矯正相談

診療のご予約・矯正のご相談は以下より
ご連絡ください。
皆様のご連絡をお待ちしております。

診療時間
月-火-水-金-土
09:00 - 13:00 15:00 - 18:30
休診日
木・日・祝

〒164-0001
東京都中野区中野5-67-5 SKGT長谷部6階

ACCESS

アクセス

最寄り駅 JR中野駅 北口より徒歩3分

待合室
外観