診療時間
月-火-水-金-土
09:00 - 13:00 15:00 - 18:30
休診日
木・日

〒164-0001
東京都中野区中野5-67-5 SKGT長谷部6階

インビザラインの矯正症例
10代の歯列矯正

© 2022 Igumi Dental Clinic. all rights reserved.

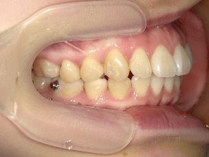
10代 女性 叢生(先天性欠如歯)

BEFORE

BEFORE

AFTER

AFTER

担当医コメント

  • 上下に叢生が見られる。歯列の拡大、臼歯の遠心移動、IPRを組み合わせてインビザラインで治療を行う事にした。
  • 下顎前歯(側切歯)が2本、先天性欠如している。そのため上下で歯の本数に差があり上顎と下顎の前歯の隙間が大きくなる。
  • 治療は奥歯の噛み合わせが安定し、前歯の噛み合わせが問題なく機能するように行った。

治療の概要

年齢/性別
10代 女性
主訴
前歯が気になる。上下の歯並びが気になる。
リスク
歯肉退縮が起こる可能性がある。
費用
85万円(矯正費用)
期間
1 5 ヶ月

術前

術中

術中2

術後

当院で矯正可能な
不正咬合

当院では、全ての不正咬合に対応しております。
詳しくは当院で行った矯正治療の症例を用いて詳しく解説していますので、お悩みの不正咬合がありましたらクリックして詳細をご確認ください。

INFORMATION

新着情報

RESERVATION

診療予約・矯正相談

診療のご予約・矯正のご相談は以下より
ご連絡ください。
皆様のご連絡をお待ちしております。

診療時間
月-火-水-金-土
09:00 - 13:00 15:00 - 18:30
休診日
木・日

〒164-0001
東京都中野区中野5-67-5 SKGT長谷部6階

ACCESS

アクセス

最寄り駅 JR中野駅 北口より徒歩3分

待合室
外観