診療時間
月-火-水-金-土
09:00 - 13:00 15:00 - 18:30
休診日
木・日・祝

〒164-0001
東京都中野区中野5-67-5 SKGT長谷部6階

インビザラインの矯正症例
30代の歯列矯正

© 2022 Igumi Dental Clinic. all rights reserved.

30代 女性 叢生

BEFORE

30代 女性 叢生 BEFORE

AFTER

30代 女性 叢生 AFTER

担当医コメント

  • 上下に叢生が見られる。歯列の拡大、臼歯の遠心移動、IPRを組み合わせてインビザラインで治療を行う事にした。
  • 下顎前歯が1本欠損しているので、上顎の正中と下顎の正中はずれてしまう。
  • コンプライアンスが良く、治療に協力的だったため治療はスムーズに進んだ。

治療の概要

年齢/性別
30代 女性
主訴
前歯が気になる。上下の歯並びが気になる。
リスク
歯肉退縮が起こる可能性がある。
費用
85万円
期間
1 6 ヶ月

術前

30代 女性 叢生 術前上
30代 女性 叢生 術前下
30代 女性 叢生 術前左
30代 女性 叢生 術前前
30代 女性 叢生 術前右

術中

術後

30代 女性 叢生

BEFORE

BEFORE

AFTER

AFTER

担当医コメント

上下に叢生が見られる。歯列の拡大、臼歯の遠心移動、IPRを組み合わせてインビザラインで治療を行う事にした。
コンプライアンスが良く、治療に協力的だったため治療はスムーズに進んだ。

治療の概要

年齢/性別
30代 女性
主訴
前歯が気になる。上下の歯並びが気になる。
リスク
歯肉退縮が起こる可能性がある。
費用
85万円(矯正費用)
期間
1 6 ヶ月

術前

術中

術後

30代 女性 叢生

BEFORE

BEFORE

AFTER

AFTER

担当医コメント

上下に叢生が見られる。前歯部には交叉咬合が数か所見られる。歯列の拡大、臼歯の遠心移動、IPRを組み合わせてインビザラインで治療を行う事にした。コンプライアンスが良く、治療に協力的だったため治療はスムーズに進んだ。

治療の概要

年齢/性別
30代 女性
主訴
前歯が気になる。上下の歯並びが気になる。
リスク
歯肉退縮が起こる可能性がある。交叉咬合が改善する過程で、前歯部の早期接触が起こり、臼歯部が離開し奥歯で噛みにくい時期が出て来る。
費用
85万円
期間
2

術前

術中

術後

30代 女性 叢生(先天性欠如歯)

BEFORE

BEFORE

AFTER

AFTER

担当医コメント

上下に叢生が見られる。歯列の拡大、臼歯の遠心移動、IPRを組み合わせてインビザラインで治療を行う事にした。
右上前歯(側切歯)が1本、先天性欠如している。そのため上顎の正中が右側にズレている。治療では左側にIPRを加えて、正中を左側に可能な範囲で移動させた。

治療の概要

年齢/性別
30代 女性
主訴
前歯が気になる。上下の歯並びが気になる。
リスク
歯肉退縮が起こる可能性がある。
費用
85万円
期間
1 4 ヶ月

術前

術中

術中2

術後

30代 男性 叢生(先天性欠如歯)

BEFORE

BEFORE

AFTER

AFTER

担当医コメント

上顎に叢生が見られ、下顎に隙間が見られる。上顎は歯列弓を小さくするためにIPRを加え、臼歯の遠心移動を組み合わせた。インビザラインで治療を行う事にした。

下顎前歯(側切歯)が2本、先天性欠如している。そのため上下で歯の本数に差があり、噛み合わせが深くなる。
治療は奥歯の噛み合わせが安定し、前歯の噛み合わせが問題なく機能するように行った。

治療の概要

年齢/性別
30代男性
主訴
前歯が気になる。上下の歯並びが気になる。
リスク
歯肉退縮が起こる可能性がある。
費用
85万円
期間
1 6 ヶ月

術前

術中

術後

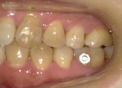
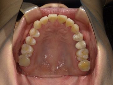
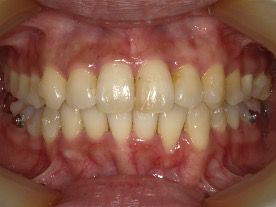
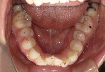
30代 女性 叢生

BEFORE

BEFORE

AFTER

AFTER

担当医コメント

上下に叢生が見られる。歯列の拡大、臼歯の遠心移動、IPRを組み合わせてインビザラインで治療を行う事にした。
左下7にインプラントが入っていたので、この歯は不動とした。
下顎の前歯に歯肉退縮の傾向があったので、下顎前歯の歯根のコントロールを特に気を付けて行った。

治療の概要

年齢/性別
30代 女性
主訴
前歯が気になる。上下の歯並びが気になる。
リスク
歯肉退縮が起こる可能性がある。歯肉退縮が更に進む可能性がある。
費用
85万円(矯正費用)
期間
1 5 ヶ月

術前

術中

術中2

術後

当院で矯正可能な
不正咬合

当院では、全ての不正咬合に対応しております。
詳しくは当院で行った矯正治療の症例を用いて詳しく解説していますので、お悩みの不正咬合がありましたらクリックして詳細をご確認ください。

INFORMATION

新着情報

RESERVATION

診療予約・矯正相談

診療のご予約・矯正のご相談は以下より
ご連絡ください。
皆様のご連絡をお待ちしております。

診療時間
月-火-水-金-土
09:00 - 13:00 15:00 - 18:30
休診日
木・日・祝

〒164-0001
東京都中野区中野5-67-5 SKGT長谷部6階

ACCESS

アクセス

最寄り駅 JR中野駅 北口より徒歩3分

待合室
外観