診療時間
月-火-水-金-土
09:00 - 13:00 15:00 - 18:30
休診日
木・日・祝

〒164-0001
東京都中野区中野5-67-5 SKGT長谷部6階

インビザラインの矯正症例
40代の歯列矯正

© 2022 Igumi Dental Clinic. all rights reserved.

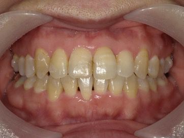
40代女性 叢生

BEFORE

BEFORE

AFTER

AFTER

担当医コメント

上下に叢生が見られる。前歯部には交叉咬合が数か所見られる。前歯部に歯列の拡大、臼歯の遠心移動、IPRを組み合わせてインビザラインで治療を行う事にした。コンプライアンスが良く、治療に協力的だったため治療はスムーズに進んだ。

矯正治療中に左下奥歯のかぶせ物が取れてしまった。動的矯正治療が終了後、保定がある程度進んだ段階で補綴する。交叉咬合が改善する過程で、前歯部の早期接触が起こり、臼歯部が離開し奥歯で噛みにくい時期が出て来る。

治療の概要

年齢/性別
40代 女性
主訴
前歯が気になる。上下の歯並びが気になる。
リスク
歯肉退縮が起こる可能性がある。
費用
85万円(矯正費用)
期間
1 6 ヶ月

術前

術中

術後

当院で矯正可能な
不正咬合

当院では、全ての不正咬合に対応しております。
詳しくは当院で行った矯正治療の症例を用いて詳しく解説していますので、お悩みの不正咬合がありましたらクリックして詳細をご確認ください。

INFORMATION

新着情報

RESERVATION

診療予約・矯正相談

診療のご予約・矯正のご相談は以下より
ご連絡ください。
皆様のご連絡をお待ちしております。

診療時間
月-火-水-金-土
09:00 - 13:00 15:00 - 18:30
休診日
木・日・祝

〒164-0001
東京都中野区中野5-67-5 SKGT長谷部6階

ACCESS

アクセス

最寄り駅 JR中野駅 北口より徒歩3分

待合室
外観